Straight Teeth In As Few As 5 Appointments

Start your journey to a new smile with a free, no-obligation consultation with Colchester's top private orthodontist.

Book A Free Consultation
Straight Teeth In As Few As 5 Appointments
Conveniently Removable clear aligners

Angel aligners

Conveniently Removable clear aligners

Angel aligners effectively straighten teeth and create wonderful smiles without the use of metal brackets or wires. These transparent, smooth, clear aligners are digitally manufactured and highly polished to ensure maximum comfort and precision.

Angel Aligners
Highly efficient teeth straightening

BRACES

Highly efficient teeth straightening

Braces are a proven and reliable solution for treating a wide range of orthodontic concerns. At Colchester Orthodontic Centre we offer both metal and ceramic brace treatment options.

Braces
NHS orthodontic treatment for children

NHS BRACES

NHS orthodontic treatment for children

If your child requires orthodontic treatment and meets specific criteria, they could be eligible for NHS brace treatment. With a dentist referral, we can complete an assessment to determine if your child qualifies.

NHS Braces

Dental Monitoring

Track your treatment progress from home

We use the latest technology in orthodontics to help make your treatment journey convenient and easy. The Dental Monitoring app transforms your smartphone into a remote scanning device, enabling us to track your treatment from anywhere.

Dental Monitoring
Track your treatment progress from home

COSTS

Interest-free payment plans

We believe everyone deserves a healthy, confident smile. That’s why we offer flexible payment options, interest-free financing, and transparent pricing on all our treatments. With a £500 deposit, you can spread the cost of your treatment over 12 months at 0% APR finance ( Subject to age and status. Minimum spend applies)

Clear Aligners (Single Arch)

STARTING FROM

£208

Clear Aligners (Both Arches)

STARTING FROM

£241

Removable Braces

STARTING FROM

£133

Functional Appliances

STARTING FROM

£191
Functional Appliances

Why choose Colchester Orthodontic Centre

Our highly trained specialists are ready to help you achieve your smile goals. Here are a few reasons why you should choose us for your orthodontic treatment journey:

30 years of experience

30 years of experience

5.0 star Google reviews

5.0 star Google reviews

Affordable financing

Affordable financing

Free parking

Free parking

Evening clinics

Evening clinics

Open Saturday mornings

Open Saturday mornings

Meet our wonderful team

Our fantastic team of Specialist Orthodontists, orthodontic therapists, nurses, treatment coordinators and admin staff work closely together to provide every patient with the best possible care.

Meet our team

SMILE GALLERY

Beautiful smiles, happy patients

We have transformed the smiles of hundreds of patients. Take a look at some of the amazing results we have been able to achieve.

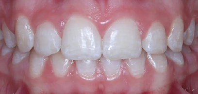
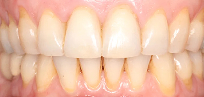
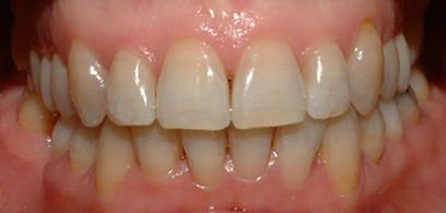
Before & Afters
Before & Afters

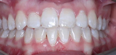
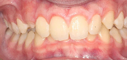
Fixed Braces

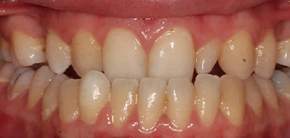
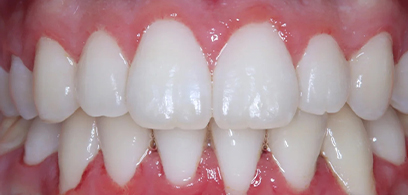
Before & Afters
Before & Afters

Fixed Braces

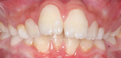
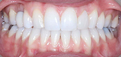
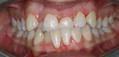
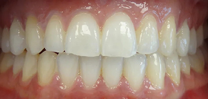
Before & Afters
Before & Afters

Invisalign

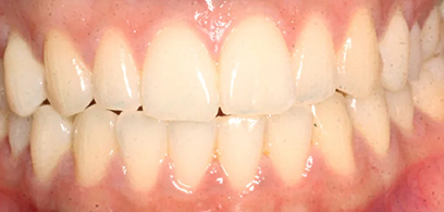
Before & Afters
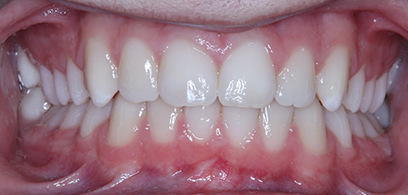
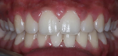
Before & Afters

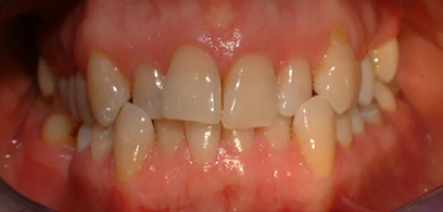
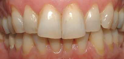
Tooth-Coloured Fixed Braces

Missing & misshaped teeth & an underbite. Treated with tooth-coloured fixed braces.

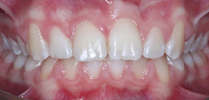
Before & Afters
Before & Afters

Fixed Braces

Before & Afters
Before & Afters

Fixed Braces

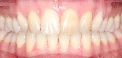
Before & Afters
Before & Afters

Twin Block Functional Appliance & Fixed Braces

Before & Afters
Before & Afters

Invisalign

Sloping incisors & cross bite.

Before & Afters
Before & Afters

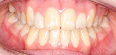
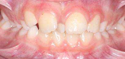
Fixed Braces

Crowded, open bite & small upper lateral incisors.

Before & Afters
Before & Afters

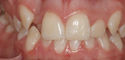
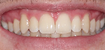
Tooth-Coloured Fixed Braces

Uneven upper gums due to missing incisor.

Before & Afters
Before & Afters

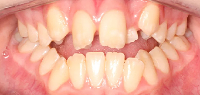
Tooth-Coloured Fixed Braces

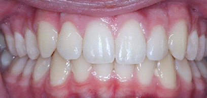
Misaligned upper incisors.

Before & Afters
Before & Afters

Upper and Lower Fixed Braces

This patient had a removable brace prior to a surgical exposure.

Before & Afters
Before & Afters

Fixed Braces

Before & Afters
Before & Afters

Fixed Braces

Start your smile transformation today!

Book A Free Consultation

Start your smile transformation today!

We are here to support you every step of the way throughout your treatment journey. Get started by booking a free consultation with our friendly Treatment Coordinator.

Free Consultation